科學的數據處理RAWspot技術
特有的RSV斑點信號三維體積
可執行IQOQPQ認證
數據客觀穩定
符合CE認證/CFR21 Part11技術規范
符合質量管理體系
應用ELISpot/FluoroSpot/FociSpot實驗
電話:0755-26410427
郵箱:equipment@dakewe.com
全新一代ELISpot&FluoroSpot&FociSpot讀板儀

繼推出一代IRIS和ASTOR后,受到廣大用戶的歡迎和青睞,Mabtech又推出二代IRIS?和ASTOR?。Mabtech二代IRIS可進行FluoroSpot、ELISpot和FociSpot分析,且兼容自動化設備;Mabtech二代ASTOR可應用于ELISpot檢測,亦兼容自動化設備。
Mabtech讀板儀提供一種革命性的方法來進行斑點分析。只需選擇實驗類型,加載板子,并按下read。Mabtech的專利RAWspot?算法確保高度精確的斑點中心定位和計數。Mabtech Apex?軟件提供一個即插即用的用戶友好系統。IRIS和ASTOR可以讓用戶享受一個輕松和準確的斑點分析。
一.產品技術介紹:
全新一代RAWSpot技術:

數據新的量度-Relative Spot Volume(RSV)
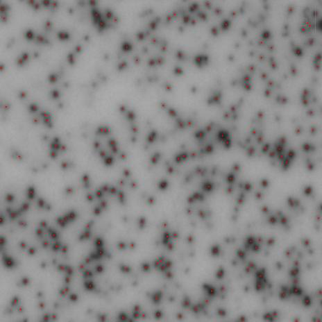
伴隨著現在數據信號處理能力的加強,采用革新化的RAWspot技術可以對每個斑點獲取其3D的體積,而該體積的大小與分泌因子的相對量呈正相關。這個針對新的斑點測量指標就叫做RSV(Relative Spot Volume)。
每個斑點的三維體積與分泌物的相對量相對應,RSV的大小與細胞分泌因子的量呈正相關。
精確斑點定位
基于RAWSpot技術的精準定位,可以準確獲得斑點位置及對應細胞的分泌類型。

ELISpot斑點中心定位
人性化的軟件使用
Mabtech公司研發者們想讓用戶對該設備的Fluorospot和ELISpot分析功能所折服,以使用者的角度為出發點,充分利用RAWspot技術的強大功能和精準度,創建了Mabtech ApexTM 軟件。
原始RAW數據不能被修改;使用Size(大?。?/span>和intensity(熒光強度)兩個參數來限定斑點個數;通過任何Brightness(光亮強度)和Contrast(對比度)的設置不會改變斑點的計數結果;通過添加成型的模板也不會改變數據結果。

1. 通過創建好的模板,非常簡單的將實驗數據輸出到Excel或者GraphPad PRISM中。
2. 插頁的結構有點類似于網頁搜索,可以同時進行FluoroSpot板和ELISpot板的操作。
客觀穩定
節省時間:無需手動對XY平面進行校準。
數據可信賴:固定的照相機聚焦確保數據的客觀性,極大降低用戶之間主觀偏差造成的影響。

圖1.三個具有不同經驗的操作者進行FluoroSpot分析任務,用Mabtech IRIS和另外一種商業讀板設備進行對比,其中該商業化設備需要用戶自定義的設置參數。圖上展示統計復孔取平均值后的斑點個數(n=4),Mabtech IRIS展現極佳的數據一致性。

圖示2:采用梯度稀釋的方式驗證,Mabtech ASTOR設備檢測到IL-β相對穩定。在0~60,000個/孔細胞密度范圍內,Mabtech ASTOR突顯了卓越不凡的穩定性,而大多數讀板設備在細胞密度高于20,000個/孔時就超出了其檢測范圍。
檢測迅速
對于Elispot板,從數據采集到數據分析時間降低到最小,總時間在3min內完成。相對于大量讀板來說,它是極高效的理想工具。

即插即用
僅需要加載您的96孔板,點擊“Read”,即可實現即插即用的FluoroSpot/ELISPOT讀板檢測,顛覆了傳統的讀板方式。其實現方式:
l 自我XY平面校準
l 采用的是高質量的遠心鏡頭,能夠確保穩定的景深和數據不失真
l 無需額外調節焦距
l 自動調節板子位置
l 自動調節曝光時間
二代Mabtech IRIS設計目的是使對大型項目分析盡可能輕松。除了自校準、響應性軟件和簡單的數據處理外,IRIS 2還可以外接機械臂進行板子加載。Mabtech讀板儀可以成為一個具有機械臂的自動化工作流程的一部分,或者也可以完全集成到一個更大的自動化設置中。每個自動化解決方案都是獨一無二的,但Mabtech將為您的每一步深入考慮。

二.設備特征:
- 科學的數據處理RAWspot技術
- 特有的RSV斑點信號三維體積
- 可執行IQOQPQ認證
- 數據客觀穩定
- 符合CE認證/CFR21 Part11技術規范
- 符合質量管理體系
- 應用ELISpot/FluoroSpot/FociSpot實驗
歡迎咨詢:
